近日,陆港院区超声医学科魏炜副主任团队成功为一名30岁男性患者实施了超声引导下甲状旁腺腺瘤射频消融治疗。手术精准高效,相关实验室指标显著下降,患者无并发症,于入院后19小时顺利出院。此次手术的成功实施,标志着我科对甲状旁腺良性病变实现了从精准诊断向微创治疗的成功跨越。
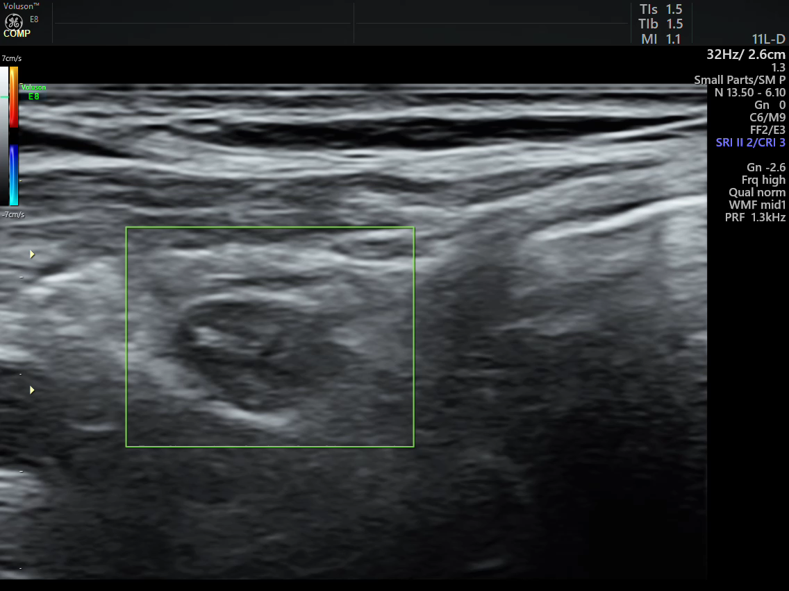
该患者为年轻男性,因当地体检发现骨密度减低,随即到西安、北京多家大型三甲医院复查,发现甲状旁腺激素及血钙水平异常升高,超声检查提示左侧甲状旁腺占位。因多方了解我院超声医学科可以射频消融治疗,为求精准诊治慕名前往我院陆港院区超声医学科求治。我科魏炜副主任在详细了解该患者既往临床资料后对其进行了超声检查,发现该患者左侧下部甲状旁腺内可见一大小5.1x5.2x13.2mm低回声结节,边界清,形态规则,内回声欠均匀,CDFI:结节内部可见丰富血流信号;余甲状旁腺形态、大小未见异常。患者甲状旁腺素158pg/ml(正常参考范围15-65pg/mL),血钙2.89mmol/L(正常参考范围2.11—2.52mmol/L),魏炜副教授根据该患者超声图像特征结合实验室检查明确诊断该患者为原发性左侧下部甲状旁腺功能亢进(甲状旁腺腺瘤),符合射频消融指征。魏炜副主任为患者详细讲解了治疗目的、步骤及可能发生的并发症后,患者决定采取该微创治疗方式。在日间诊疗中心的支持下,患者顺利住院并完善术前检查。

治疗前病灶血流丰富 治疗后病灶血流消失
术中,在高频超声的实时引导下,通过穿刺针水隔离病灶部位与周围组织器官,通过精准导航在完整消融病灶的同时,最大程度避免了对周围正常组织的损伤,仅用时数分钟就完成了整个治疗。术中术后患者未出现声音嘶哑及出血等并发症,术后即刻超声造影显示病灶区无增强,提示消融完全,在住院19小时后患者顺利出院。出院前复查甲状旁腺素12.4pg/ml,呈“断崖”式下降,血钙2.46mmol/L,标志着腺瘤病灶被完全灭活,甲状旁腺功能异常得到纠正,血钙恢复到正常水平,治疗效果显著。

消融过程 消融后造影病灶无增强
超声引导下甲状旁腺射频消融得益于微创、精准、治疗效果显著、并发症少等优势,结合我院日间病房的精细化管理,患者恢复进程显著加快,在确保医疗安全的前提下,于术后24小时内即达到出院标准,顺利返家休养。
此次手术的成功实施,是我科将实时超声引导与微创介入治疗及快速康复理念深度融合的又一典型案例。它不仅为原发性甲状旁腺功能亢进患者提供了一种更为安全、精准、痛苦小、恢复快的治疗选择,也标志着我科在该类疾病的诊疗技术上迈上了新的台阶。未来,我科将继续致力于微创诊断与治疗技术的探索与应用,为更多患者提供优质、高效、人性化的医疗服务。
西安交通大学第一附属医院超声医学科成立于1976年,为我省最早独立建科的超声科室之一。现为国家级临床重点专科、省级重点专科、硕博士授予点及住院医师规范化培训基地,任省医师协会超声医师分会主委单位。科室医护团队80余人,在阮骊韬主任的领导下,学科各个亚专业全面发展,涵盖腹部、浅表、心脏、血管、腔内、介入、造影、弹性、术中、重症等多领域,设有“甲状腺微创诊疗”“超声造影”“超声介入”等多项国家级培训基地。承担国家级、省部级科研项目十余项,发表论文100余篇,致力于医、教、研协同发展。
